ד"ר עידו לוי מרפאת שיניים אישית
אודות
ברוכים הבאים למרפאתו של ד"ר עידו לוי, בוגר הפקולטה לרפואת שיניים באוניברסיטת תל אביב משנת 2015.
מרפאה חדשנית וטכנולוגית, המציעה מגוון פתרונות וטיפולים מתקדמים לאסתטיקה דנטלית.
במרפאתנו תמצאו צוות מקצועי שיעניק לכם טיפול מותאם אישית לצרכים הייחודיים שלכם, תוך שימוש בטכנולוגיות המתקדמות ביותר כיום בתחום רפואת השיניים. אנחנו לא עוסקים רק בטיפול שיניים יוצא דופן, אנו עוסקים ביצירת סביבה נעימה ואנושית ששמה את המטופל ורצונותיו במרכז, ומבטיחה שכל טיפול יעבור בנוחות מירבית, ללא מתח ומינימום כאב.
מרפאתנו מתמחה בכל סוגי הטיפולים: יישור שיניים, משמרת, כירורגיה, ציפויי חרסינה ואסתטיקה דנטלית, שתלים וטיפול שיניים לילדים החל מגיל 3.
הקליניקה
הטיפולים שלנו
לחצו על כל טיפול לפתיחת פירוט.
ציפויי חרסינה
⌄
ציפוי חרסינה לשיניים (למינייט) – פתרון אסתטי זעיר-פולשני.
ציפויי חרסינה
⌄ציפוי חרסינה לשיניים (למינייט) – פתרון אסתטי זעיר-פולשני.
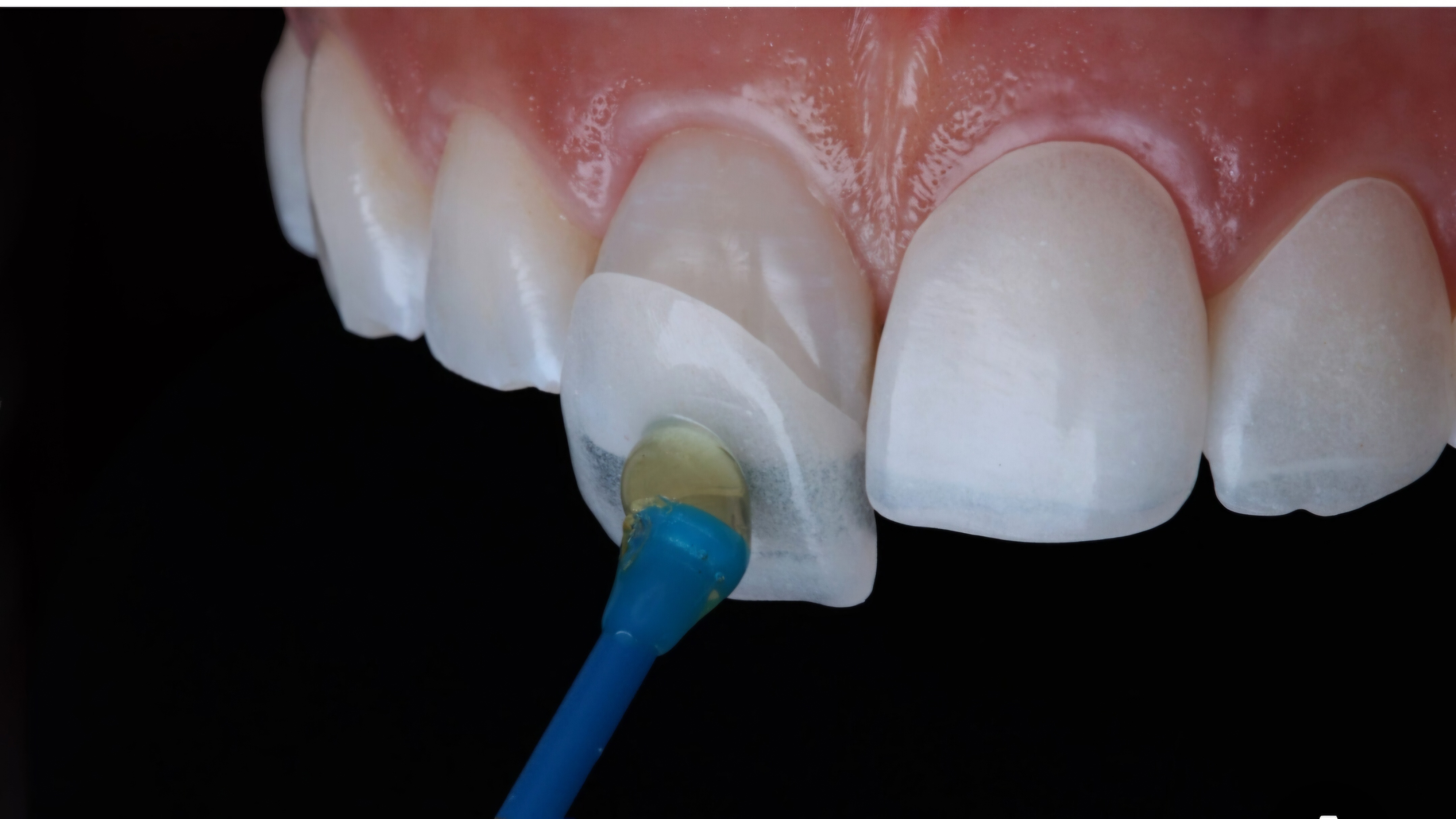
ציפוי חרסינה לשיניים (למינייט) הוא פתרון אסתטי זעיר-פולשני המדביק "עלי חרסינה" דקים על חזית השן כדי לשפר משמעותית: צבע, צורה, גודל, לסגור רווחים או לתקן שיניים סדוקות/שחוקות, ומציע מראה טבעי ועמיד לאורך שנים, ללא שינוי צבע, תהליך הדורש בדרך כלל 2-3 פגישות ומעט הסרת חומר שן טבעי.
- שיניים מוכתמות שלא מגיבות להלבנה רגילה (נגרם מטיפול אנטיביוטי או עישון כבד).
- שיניים סדוקות, שבורות או שחוקות.
- סגירת רווחים (דיאסטמות) בין השיניים.
- שינוי צורה, אורך או יישור קל של השיניים.
- החזרת גוון אחיד לשיניים עם סתימות ישנות.
יישור שיניים עם קשתיות שקופות
⌄
יישור ללא מבוכה – קשתיות שקופות שאינן נראות לעין.
יישור שיניים עם קשתיות שקופות
⌄יישור ללא מבוכה – קשתיות שקופות שאינן נראות לעין.
בשיטה זו, נערים ומבוגרים בכל גיל יכולים לעבור יישור שיניים ללא מבוכה.
לא עוד קוביות מתכת על גבי השיניים. הקשתיות השקופות אינן נראות לעין, והטיפול לרוב קצר ונוח למטופל וקבלת מראה שיניים אסתטי ויפה.
טיפול בצפיפות מרווחים ושיניים בולטות.
טיפולי שורש
⌄
ניקוי תעלת השורש ומניעת חדירת חיידקים.
טיפולי שורש
⌄ניקוי תעלת השורש ומניעת חדירת חיידקים.
טיפול שורש הוא טיפול שבו מסולקת הרקמה המזוהמת שבמוך השן (השכבה הפנימית של השן). בטיפול זה הרופא מנקה בקפדנות את תעלת השורש, וממלא את החלל בחומר מילוי מיוחד המונע כניסת חיידקים.
שיקום הפה - כתרי חרסינה / זירקוניה
⌄
כתרים/גשרים ושיקומים מורכבים לשיניים ולשתלים.
שיקום הפה - כתרי חרסינה / זירקוניה
⌄כתרים/גשרים ושיקומים מורכבים לשיניים ולשתלים.
שיקום על ידי כתרים, גשרים, ושיקומים מורכבים, לשיניים ועל גבי שתלים.
החזרה של הפונקציה והאסתטיקה לחלל הפה.
זאת כדי לשמור על שיניים מפני שבר ולקבל אסתטיקה ופונקציה מושלמת.
ישנם מספר סוגי חומרים לכתרים: חרסינה, זרקוניה ועוד.
מרפאתנו עובדת עם מיטב המעבדות והחומרים בארץ ובאמצעות סורק אינטראורלי הכי חדיש שקיים בתחום
כירורגיה ושתלים דנטליים
⌄
השלמת שיניים חסרות – לעיתים עם סדים מונחי מחשב.
כירורגיה ושתלים דנטליים
⌄השלמת שיניים חסרות – לעיתים עם סדים מונחי מחשב.
אנו מבצעים טיפולי השתלות שיניים באמצעות השתלים האיכותיים ביותר כיום, השלמת שיניים חסרות על ידי שתלים באמצעות סדים מונחי מחשב לדיוק מקסימלי בעת הצורך.
מדובר בפרוצדורה פשוטה בהרדמה מקומית. השתל משמש כתחליף לשורש השן החסרה ולתמיכה במבנה ובכתר החלופי.
טיפול שיניים בילדים
⌄
טיפול מגיל 3 – סבלנות, מקצועיות וגז צחוק.
טיפול שיניים בילדים
⌄טיפול מגיל 3 – סבלנות, מקצועיות וגז צחוק.
על פי ההמלצה של האיגוד האמריקאי לרפואת שיניים לילדים, מומלץ להגיע למרפאת השיניים בפעם הראשונה עם בקיעת השן הראשונה או בגיל שנה (המוקדם מבין השניים). המטרה של בדיקת השיניים היא לבחון את חלל הפה, אופן צחצוח השיניים ולאבחן האם קיימים פגמים בהתפתחות השיניים, שעלולים להוביל לעששת.
בפגישה עם רופא השיניים לילדים מתקיימת שיחה בנושאים חשובים כגון מניעת עששת, הדרכה להיגיינת הפה והמלצות תזונה. במקרה שאירעה חבלה לשיניים מומלץ להגיע לבדיקה.
במרפאתנו מטפלים בסבלנות ומקצועיות, תוך מתן דגש לחששות ודאגות של הילד וההורים.
מבצעים את כל סוגי הטיפולים בילדים באמצעות גז צחוק
הלבנות שיניים
⌄
ברק, רעננות ויופי שיעשו את כל ההבדל.
הלבנות שיניים
⌄ברק, רעננות ויופי שיעשו את כל ההבדל.
שיניים לבנות מקנות לחיוך שלנו את הברק, הרעננות והיופי שיעשו את כל ההבדל. אנו מבצעים טיפולי הלבנות שיניים מתקדמים שיעשו לכם חשק לחייך מסביב לשעון.
לפני ואחרי
חללי הפה של המטופלים לפני ואחרי הטיפולים במרפאתנו.
המלצות
יחס אישי לכל מטופל/ת.
"שלום וברכה! רציתי לומר תודה גם בשם כלתי וגם בשמי. כלתי ממש שמחה לפגוש רופא מקצועי, עדין וללא הרבה זריקות. היא אמרה שבדרך כלל זריקה אחת לא משפיעה, ואצלך זה היה מושלם ומקצועי. תודה רבה. ולגבי השיננית – היא מקצועית, עדינה עם המון סבלנות, וזה מתאים לי מאוד."
"עברתי סדרת טיפולים לשיקום הפה ולשיפור האסתטיקה, והתוצאה פשוט מצוינת. היחס היה אישי, סבלני ומקצועי לאורך כל הדרך, עם הקפדה על דיוק ותחושה טובה. קיבלתי תוצאה טבעית ויפה, והרבה מחמאות מהסביבה. רופא שאפשר לסמוך עליו בעיניים עצומות."
"הגעתי לטיפול שורש עם הרבה חשש, ויצאתי רגועה ומרוצה. הרופא הסביר כל שלב, עבד בעדינות ובמקצועיות, והטיפול עבר ללא כאבים כמעט בכלל. גם לאחר הטיפול קיבלתי מענה וזמינות מלאה. ממליצה מאוד למי שמחפש רופא שיניים יסודי, רגוע ואנושי."
צור קשר
לקביעת תור בווטסאפ/טלפון: 050-4391727